您好!欢迎访问710公海生物(青岛)有限公司网站!
基础医学科研服务者无忧 可视 高效 专业
全国咨询热线:17657166935
当前位置: 首页 > 新闻资讯 > 行业动态
710公海

电话:17657166935

QQ:2301757537

地址:山东省青岛市城阳区上马街道河东路上马科技企业加速器202室

邮箱:longkesci@163.com

行业动态Industry Dynamics

阿利新蓝染色的原理是基于阿利新蓝染料与组织中的酸性基团之间的结合反应。阿利新蓝染色是一种组织化学染色方法,它利用阿利新蓝这种阳离子

2024/09/05详情 >

荧光定量PCR(Quantitative Polymerase Chain Reaction, qPCR)是一种用于定量分析基因表达水平的分子生物学技术。在进行qPCR实验时,标

2024/09/03详情 >

细胞活性实验是用来评估细胞在特定条件下的生命力和代谢状态的实验。这些实验通常涉及使用特定的化学试剂或染料,这些试剂能够与活细胞中的

2024/07/25详情 >

判断MIC(最小抑菌浓度)测定结果的有效性,需要综合考虑实验过程中的多个环节和因素。以下是一些关键点和建议,以确保MIC测定结果的有效性:

2024/06/21详情 >

MIC(最小抑菌浓度)测定的结果解读是评估抗菌药物对特定细菌敏感性的关键步骤。一、结果解读的基本步骤1 明确MIC值:MIC值表示在体外培养

2024/06/21详情 >

抑菌圈实验,也称为扩散法或Kirby-Bauer法,是一种用于评估抗菌药物对细菌的抑菌效果的实验室测试方法。这种方法通过观察药物在琼脂平板上

2024/05/29详情 >

免疫组化(immunocytochemistry,IHC)可以用来确定组织细胞内的抗原,对其进行定位、定性及相对定量的研究。免疫组化在病理诊断上的应用是在

2024/03/19详情 >

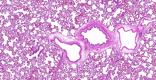
肺纤维化是一种严重影响人类健康的疾病,其特征是肺组织中纤维结缔组织的过度增生和沉积,导致呼吸功能受损。为了深入研究肺纤维化的发病机

2024/02/18详情 >

转录组学和蛋白质组学是两个重要的生物学领域,它们在研究生物体内基因表达和功能方面起着至关重要的作用。虽然这两个领域都涉及到分子生物

2024/01/29详情 >

人类疾病是世界范围内的重要健康问题,对于寻找疾病的发病机制和治疗方法具有重要意义。然而,由于伦理限制和人体复杂性的挑战,人类疾病的

2024/01/22详情 >
热门推荐
生化检测中血液、组织、细胞等样本的收集、保存及运输

生化检测中血液、组织、细胞等样本的收集、保存及运输

血生化分析作为临床检验与科研探索的核心工具,其科研检测背景源于对生命物质化学本质的深度解析需求。

2025/09/04详情 >
解析 MIC 与 MBC:抗菌药物抗菌活性的两大关键参数

解析 MIC 与 MBC:抗菌药物抗菌活性的两大关键参数

在微生物学和药理学研究中,准确测定抗菌药物对微生物的抑制和杀灭能力至关重要,其中最低抑菌浓度(MIC)和最低杀菌浓度(MBC)是两个关键指标。

2025/07/22详情 >
 

    1. 网站地图