您好!欢迎访问710公海生物(青岛)有限公司网站!
基础医学科研服务者无忧 可视 高效 专业
全国咨询热线:17657166935
当前位置: 首页 > 科研服务 > 病理学检测 > 病理分析
710公海

电话:17657166935

QQ:2301757537

地址:山东省青岛市城阳区上马街道河东路上马科技企业加速器202室

邮箱:longkesci@163.com

病理分析

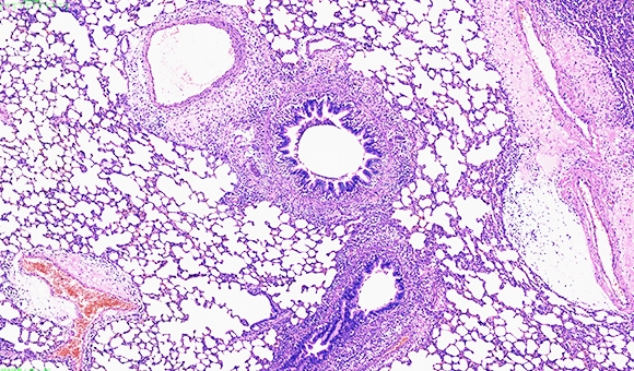
病理分析是探讨器官、组织或细胞所发生的疾病过程,探讨病变产生的原因、发病机理、病变的发生发展过程,最后做出病理诊断。染色针对不同的

病理分析是探讨器官、组织或细胞所发生的疾病过程,探讨病变产生的原因、发病机理、病变的发生发展过程,最后做出病理诊断。染色针对不同的组织情况,通过观察空白组及实验组不同的染色结果来确认病变情况,也可以通过软件来计算病变组织(染色部位)的面积比例。

病理分析服务项目

序号 项目 服务内容
1 HE病理分析 HE染色病理描述分析
2 免疫组化分析 包含阳性率,IOD值,阳性面积等分析
3 形态测量 肠绒毛长度,隐窝深度,肠壁厚度,肌肉横截面直径,面积等
4 特殊染色阳性面积分析 masson纤维面积,天狼猩红纤维面积,PAS糖原统计,油红面积等

产品咨询

留言框

  • 您的单位:

  • 您的姓名:

  • 联系电话:

Services相关服务
 

    1. 网站地图